ご来院者
50代男性 運送業
来院までの経緯
交通事故により負傷され病院の担当医師に紹介され来院されました。
来院時の症状
頭痛、頚部痛、肩の張りなどの、いわゆるむちうち症状で来院されました。

施術内容
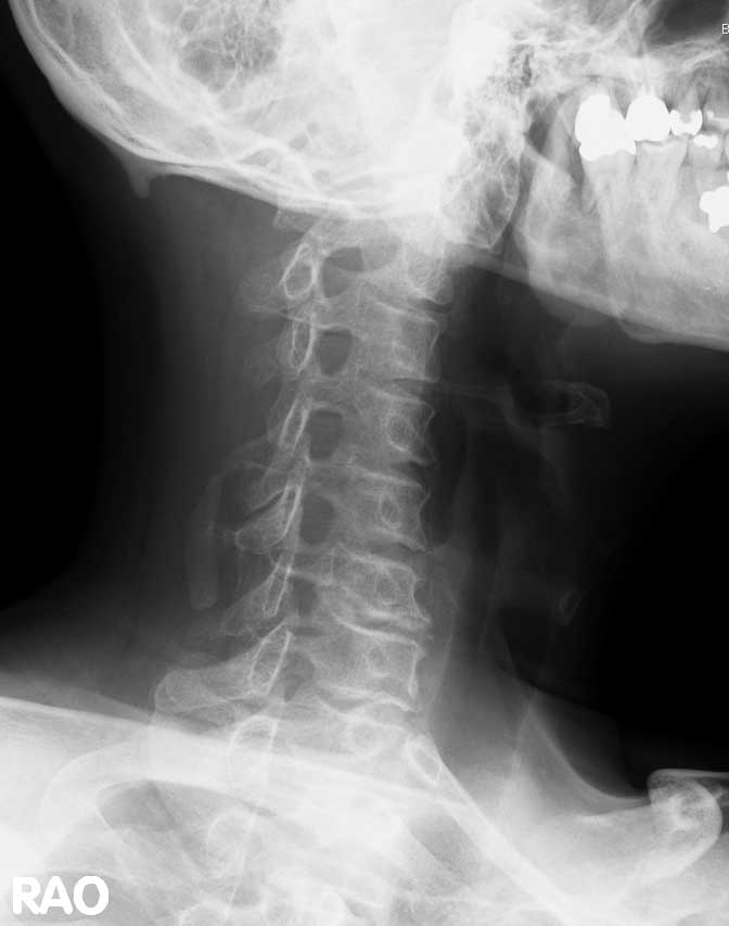
病院にて撮影されたレントゲン画像にてC6後方変位を確認し、C6のみの矯正を行いました。1か月間に約8回の施術を行い、症状の改善が見られました。さらに約1か月間に4回の矯正の施術を行った結果、ほとんど症状が消失されました。
50代男性 運送業
交通事故により負傷され病院の担当医師に紹介され来院されました。
頭痛、頚部痛、肩の張りなどの、いわゆるむちうち症状で来院されました。

病院にて撮影されたレントゲン画像にてC6後方変位を確認し、C6のみの矯正を行いました。1か月間に約8回の施術を行い、症状の改善が見られました。さらに約1か月間に4回の矯正の施術を行った結果、ほとんど症状が消失されました。